CT Coronary Angiography (CTCA) in Chandigarh is a highly accurate, non-invasive heart scan used to detect coronary artery blockages at an early stage.
Patients across Chandigarh, Mohali, Panchkula (Tricity) and nearby regions trust CTCA for precise cardiac evaluation.



This advanced scan provides detailed insights into heart vessels, helping prevent serious cardiac events.
Learn about CT Coronary Angiography cost, procedure, preparation, scan time, and safety standards in India, while meeting global diagnostic quality benchmarks for heart imaging and preventive cardiac care.
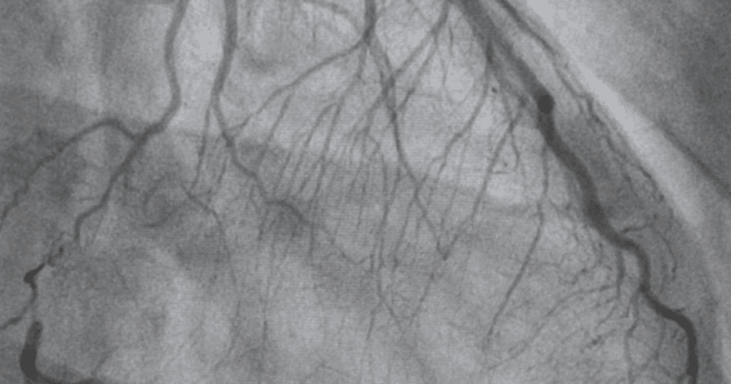
CT Coronary Angiography (CTCA) is a highly advanced, non-invasive heart imaging test used to assess the coronary arteries that supply blood to the heart muscle.
In clinical practice, it is one of the most reliable tools for identifying early and established coronary artery disease.



By combining high-resolution CT technology with an intravenous contrast agent, CTCA produces detailed 3D images of the heart vessels, allowing precise evaluation of blockages, vessel narrowing, plaque burden, and calcium deposits-often before symptoms become severe.
During the procedure, contrast dye is administered through a peripheral vein, while a high-speed CT scanner captures images synchronized with the cardiac cycle.
This advanced timing significantly reduces motion artifacts and ensures clear visualization of even small coronary branches.
Unlike conventional catheter-based angiography, CTCA does not involve arterial puncture or hospital admission. As a result, the scan is safer, quicker, and far more comfortable for patients, while still maintaining excellent diagnostic accuracy.
CTCA is typically advised for patients with chest discomfort, shortness of breath, atypical cardiac symptoms, or inconclusive stress test results.
It is particularly valuable for individuals with cardiovascular risk factors such as diabetes, hypertension, high cholesterol, smoking history, obesity, or a strong family history of heart disease.



Across Chandigarh, Mohali, Panchkula (Tricity) and globally, CT Coronary Angiography is increasingly used for both diagnostic evaluation and preventive cardiac screening.
From a clinical perspective, CTCA offers an excellent balance of accuracy, safety, and efficiency.
It enables early detection of coronary artery disease, helps avoid unnecessary invasive procedures, and supports informed treatment planning.



With results aligned to international cardiac imaging standards, CT Coronary Angiography remains a trusted and widely accepted heart diagnostic test in India and worldwide.
CT Coronary Angiography (CTCA) in Chandigarh is a highly reliable, non-invasive cardiac imaging test used to evaluate coronary artery disease with precision.
Equipped with advanced CT technology and interpreted by experienced cardiac imaging specialists, CTCA in Chandigarh enables early detection of blocked or narrowed coronary arteries.



The procedure is quick, patient-friendly, and clinically effective, making it suitable for individuals with chest pain, abnormal cardiac tests, or risk factors such as diabetes and hypertension.
Chandigarh has become a preferred center for accurate heart diagnostics due to its strong medical infrastructure and adherence to international imaging protocols.
CT Coronary Angiography across the Tricity region—Chandigarh, Mohali, and Panchkula—offers patients seamless access to high-quality cardiac diagnostic services. The Tricity functions as an integrated healthcare hub, providing consistent imaging standards, modern CT scanners, and expert reporting.



Patients from Punjab, Haryana, Himachal Pradesh, and nearby regions frequently choose Tricity for CTCA due to convenience, faster turnaround times, and dependable diagnostic accuracy. As a result, CTCA in Tricity is widely used for both diagnostic evaluation and preventive cardiac screening.
CT Coronary Angiography in India aligns with global clinical guidelines while remaining cost-effective and widely accessible. Indian diagnostic centers utilize state-of-the-art CT imaging systems and follow strict safety and quality protocols.


Additionally, India’s strong expertise in radiology and cardiology ensures accurate interpretation and clinically meaningful reports. Consequently, CTCA in India is trusted for early diagnosis of coronary artery disease, risk assessment, and long-term cardiac care planning by both domestic and international patients.
The cost of CT Coronary Angiography depends on factors such as location, scanner technology, and reporting standards. Cost Variates 7500-18000/- for CT Coronary Angiography for heart artery.
Compared to conventional invasive angiography, CTCA is generally more affordable while offering excellent diagnostic accuracy.


In Chandigarh and the Tricity, transparent pricing and standardized protocols make CTCA a cost-effective choice for early heart disease detection. Importantly, early diagnosis through CTCA can significantly reduce future treatment expenses by preventing advanced cardiac complications.
CT Coronary Angiography and conventional angiography differ primarily in approach and clinical use. CTCA is non-invasive, requires no catheter insertion, and is ideal for ruling out coronary artery disease in low- to intermediate-risk patients.


In contrast, conventional angiography is an invasive procedure typically reserved for cases where immediate intervention, such as angioplasty or stenting, is required. Therefore, CTCA is often recommended as a first-line diagnostic tool, helping clinicians avoid unnecessary invasive procedures while ensuring accurate cardiac assessment.
CT Coronary Angiography (CTCA) is a non-invasive heart scan that evaluates the coronary arteries for blockages, narrowing, or plaque buildup. Doctors recommend it to diagnose coronary artery disease early, especially in patients with chest pain, abnormal cardiac tests, or multiple heart risk factors.
CT Coronary Angiography is available at advanced diagnostic centers equipped with high-resolution CT scanners and expert cardiac reporting. Patients searching for “CT Coronary Angiography near me” typically choose centers that offer modern technology, experienced radiologists, fast reporting, and strict safety protocols.
Yes. CT Coronary Angiography is a safe and well-established diagnostic test. It uses controlled radiation doses and contrast dye under medical supervision. Compared to invasive angiography, CTCA has a lower risk of complications and does not require hospital admission.
The actual CT scan usually takes only a few seconds. However, the total procedure time, including preparation and monitoring, generally ranges from 30 to 60 minutes. Patients can resume normal activities shortly after the scan unless advised otherwise.
CTCA is ideal for individuals with chest discomfort, breathlessness, borderline or inconclusive stress test results, or a family history of heart disease. It is also recommended for patients with diabetes, high blood pressure, or high cholesterol as part of preventive cardiac evaluation.
CT Coronary Angiography is non-invasive and used mainly for diagnosis and ruling out coronary artery disease. Conventional angiography is invasive and typically performed when a procedure such as stenting or angioplasty is planned. CTCA is often used as a first-line test to avoid unnecessary invasive procedures.
Heart-related symptoms are rarely straightforward, which is why accurate imaging matters.
CT Coronary Angiography in Chandigarh is used to visualize the coronary arteries in fine detail, helping clinicians understand whether symptoms such as chest discomfort, breathlessness, or unexplained fatigue are linked to coronary artery disease.


Unlike traditional angiography, this examination is non-invasive and provides a comprehensive view of the heart’s blood vessels within minutes, allowing doctors to make confident, evidence-based decisions.
In everyday clinical language, many patients refer to this test as a CTCA scan in Chandigarh.
It is particularly valuable when stress tests are inconclusive or when early detection is essential to avoid invasive procedures.
The strength of CTCA lies not only in its speed but in its ability to reveal both significant and early-stage arterial changes that may not yet be causing severe symptoms.
From a broader diagnostic perspective, CT Coronary Angiography is a specialized form of cardiac CT scan in Chandigarh, designed specifically for coronary artery evaluation.
Cardiac CT imaging allows clinicians to assess vessel anatomy, plaque characteristics, and overall cardiac structure in a single examination.


This level of detail supports accurate risk assessment and personalized treatment planning, especially for patients with diabetes, hypertension, high cholesterol, or a family history of heart disease.
Patients often search for a heart CT scan in Chandigarh when they want clarity without the risks associated with invasive testing.
CT-based heart imaging offers that balance-high diagnostic accuracy with minimal discomfort and rapid recovery.
The scan does not require hospital admission, and most individuals return to normal activities shortly afterward, making it suitable for both working professionals and elderly patients.
When performed at the right time, it helps rule out serious disease, prevents unnecessary catheter-based angiography, and identifies patients who genuinely need further intervention.
In Chandigarh, access to modern CT technology and experienced cardiac imaging interpretation ensures that results meet international standards while remaining patient-focused and clinically meaningful.
Patients searching for CT Coronary Angiography near Chandigarh often travel from surrounding cities and regions due to the availability of advanced cardiac CT imaging and expert interpretation. Chandigarh functions as a central diagnostic hub, making it convenient for patients from nearby areas to access accurate and timely heart imaging services.
CT Coronary Angiography is commonly chosen by patients from:

Due to excellent road connectivity and short travel times, many patients from Punjab, Haryana, and Himachal Pradesh prefer undergoing CTCA in Chandigarh rather than local facilities.
Patients from nearby cities often look for heart CT scan near me or cardiac CT scan near Chandigarh when accuracy and safety are a priority. Chandigarh offers:
As a result, CT Coronary Angiography in Chandigarh is not limited to city residents alone but serves as a regional center for comprehensive heart diagnostics.
If you are located in or around Chandigarh, Mohali, Panchkula, or nearby regions, CT Coronary Angiography provides a reliable, non-invasive way to evaluate heart health without unnecessary delays. Many patients choose to travel a short distance to ensure accurate diagnosis, expert reporting, and peace of mind.